Skip to content
Toggle Navigation
FAQs
Testimonials
Our breeds
German Shepherd
Belgian Malinois
Doberman Pinscher
Rottweiler
East-European Shepherd VEO
Grand Gascon-Saintongeois
Galleries
Contact Us
Menu
Home
About Us
About Us
Josef Mravik – Owner & Director
News
Press
Available dogs
Dogs for sale
Pups for sale
Our Dogs
Our males
Our females
Retired males
Retired females
Dogs from our breeding
Sold Dogs
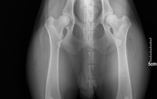
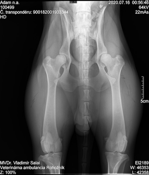
Adam Halicia Nova Canina ♂
BREED
German Shepherd
SEX
Male
DOG INFO:
…
DOG GALLERY
Share this dog, choose your platform!
See all available dogs
continue reading
Related Posts
Bernikla Freya Dumiran ♀
German Shepherd
Read More
Olaf ♂
Belgian Malinois
Read More
Cappuccino Life Begins ♂
Belgian Malinois
Read More
Page load link
Go to Top